泌尿外科创建于1994年,是外科学较早发展的一个重要分支。于2004年在河南省率先开展泌尿外科微创手术,微创手术占手术总量的90%以上。科室拥有一只精诚团结、勇于开拓的团队,现有主任医师1名,副主任医师1名,主治医师1名,住院医师1名。
科室特色:科室配备有德国狼牌输尿管镜、肾镜、前列腺气化电切镜、膀胱尿道镜、瑞士产第三代超声、气压弹道联合碎石清石系统、钬激光碎石仪、尿道冷刀切开设备、多功能体外碎石机等。本科的发展方向是微创泌尿外科。科研工作的主题是“腹腔镜泌尿外科”和“泌尿系结石的微创治疗”。我们决心以精湛的医术和优质的服务为广大患者解除疾患。
治疗项目:现开展了尿路结石的体外震波碎石治疗及经尿道输尿管镜碎石、清石术,经皮肾镜碎石、清石术;良性前列腺增生、前列腺癌、膀胱癌的电切治疗、尿道狭窄的冷刀切开治疗;尿道下裂等泌尿系统先天性畸形的矫形治疗;膀胱肿瘤膀胱全切、回肠新膀胱、回升结肠新膀胱术根治性肾肿瘤切除术等各类泌尿外科手术。
常见微创手术及设备:
1.超高清成像系统、输尿管镜、膀胱镜等



2.前列腺汽化电切设备



前列腺汽化电切术 术前术后后对比


3.钬激光碎石系统


泌尿系统结石的钬激光碎石


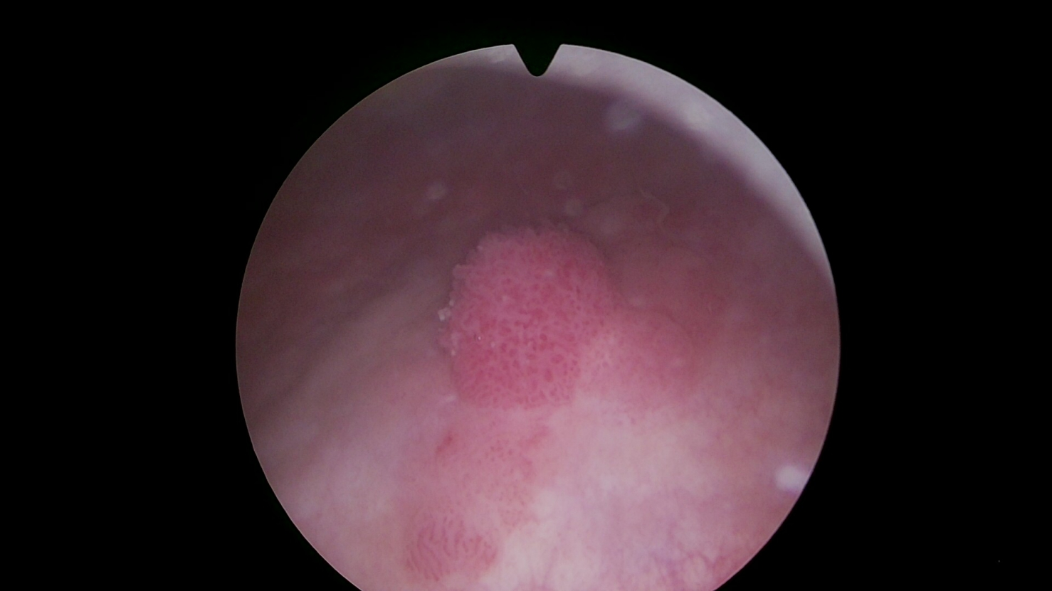
4.膀胱肿瘤切除


请关注微信公众号

地址:洛阳市瀍涧大道560号
科室电话:0379-66880197
科室位置:住院部2号楼4楼
展开全文










