

(三)、内镜下食管静脉曲张套扎术
我国是肝硬化大国,肝硬化并上大消化道出血是威胁生命最危险的并发症。该技术是在胃镜检查同时,直视下直接结扎引起出血的食管曲张静脉,简单、微创,不手术,效果显著。




(四)、内镜下胃、肠道息肉切除术
胃、肠道息肉是重要的癌前病变,胃镜、肠镜检查一旦发现有胃、肠道息肉,就应该切除;否则就有癌变的可能。在胃镜或肠镜监视下行息肉电凝切术,是治疗息肉的最佳办法,创伤小,效果好。消化科拥有先进的德国爱尔博(ERBE)高频电凝切仪,配合电子胃镜、肠镜,行息肉电凝切术,效果良好。

肠道息肉切除术后
(五)、消化道狭窄扩张术、支架置入术
对于消化道各种消化道恶性狭窄,如食管癌、贲门癌、十二指肠癌及结肠癌等,均可在消化科行内镜下或“X”线下扩张或同时行支架置入术可有效解除梗阻,恢复进食,明显改善生存质量。
(六)、幽门螺杆菌(HP)检测
医学研究发现,幽门螺杆菌(HP)感染是消化性溃疡、慢性胃炎、胃癌的重要病因。消化科开展呼气试验检测幽门螺杆菌,“吹口气,查胃病”,是医学界公认的的“金”标准,准确、无创,深受广大患者欢迎。
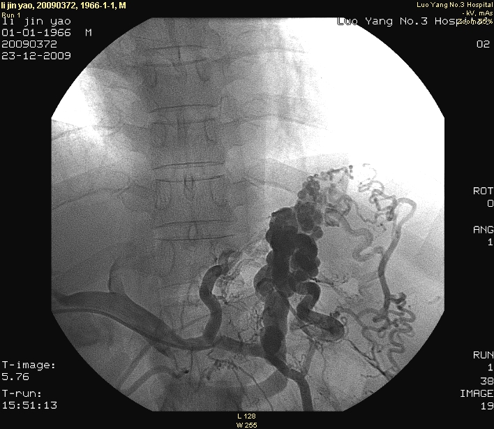
(七)、经皮经肝胃冠状静脉栓塞术
是消化内科开展的另一项治疗肝硬化并发消化道大出血的另一种血管介入技术,该技术通过经皮肤、经肝进入门静脉—胃冠状、胃短静脉—食管、胃底曲张静脉,注入栓塞剂(如无水酒精、弹簧圈),使曲张静脉闭塞,可有效防治出血,明显降低出血机率,疗效显著。可与内镜下曲张静脉套扎术、外科断流术综合运用,提高疗效。

(八)、经皮肝穿胆道造影及引流术(PTCD)
胆道支架置入术:是消化内科诊治梗阻性黄疸的另一种微创技术,通过经皮经肝途径下行操作,更加简捷、灵活,解决复杂胆道问题,如肝内胆管、肝门部胆管病变等,可弥补ERCP技术不足或与之相配合,相得益彰,为患者提后供了另外一种选择。


(九)、肝动脉栓塞化疗术
消化内科开展各种良性及恶性疾病的介入治疗肝动脉栓塞化疗及其它肿瘤栓塞化疗术(TAE)、布-加氏综合征扩张及支架置入术等。

(十)、消化系统各种常见病、多发病、疑难病及急危重症
诊治的疾病主要有:胃食管反流病、萎缩性胃炎、胃及十二肠溃疡、溃疡性结肠炎、急慢性胰腺炎及重症胰腺炎、各型肝炎及重症肝病、肝硬化、胆石症及胆囊炎、肝硬化食管胃静脉曲张上消化道大出血、消化系各种肿瘤、胆道结石及肿瘤、炎症性肠病及脓毒血症等。
肝病的正规诊治:我国“乙肝”发病率约10%,那么可想而知有多少“乙肝”病人,还不算其它肝病。因此,肝病病人迫切需要得到正规的引导和治疗,而不是被满天飞的广告所误导。消化内科提供卫生部批准的PCR定量乙肝等DNA检测,遵循最新全国《慢性乙肝防治指南》等,由资深医师为您提供专业的肝病诊治。
科室电话:0379-66880175
科主任: 姬红波 联系电话: 13323887819













