肿瘤科是洛阳市第一人民医院重点学科之一,拥有一支年富力强、医风高尚、基础理论扎实、诊疗技术精湛、富有创业和敬业精神的专业医疗队伍,开放床位50余张。
科室医护构成:医师9名,主任医师1名、副主任医师2名、专业研究生5名。优秀护理团队13人。
收治疾病、特色技术:主要从事肿瘤放疗及射频消融局部治疗、肿瘤血管介入治疗(动脉灌注化疗及动脉栓塞术)、全身化疗、分子靶向治疗、免疫治疗、癌痛规范化治疗及内分泌治疗等综合性治疗。开展了各种常见恶性肿瘤的规范化与个体化相结合的综合性治疗;恶性胸腹水的腔内循环热灌注化疗(具有国内最新型体腔循环热灌注机);开展食管癌、胃癌、肺癌、乳腺癌、直肠癌等恶性肿瘤的新辅助化疗;开展肝癌、肺癌、纵膈肿瘤、卵巢癌、胃癌、盆腔肿瘤、肾上腺转移癌等血管介入治疗;CT引导下全身各部位囊实性肿瘤(肝脏肿瘤、肺部肿瘤、肾肿瘤及多种实性包块)穿刺抽吸、活检术;开展了经外周穿刺中心静脉置管术(CVC和PICC)。在进一步完善单一全身化疗模式的基础上,圆满完成了向以肿瘤局部放疗、肿瘤血管介入、肿瘤生物免疫治疗、靶向治疗及全身化疗综合性治疗模式的转型;进行肝癌肝动脉化疗灌注栓塞术、CT引导下经皮肺(肝)穿刺抽吸活检术、CT引导下射频消融术。对各种恶性肿瘤的治疗更加规范、合理。

科室开展项目
1.肿瘤介入治疗肿瘤介入治疗:就是通过微创方法,把导管经股动脉送至肝动脉或实体肿瘤供血动脉,把化疗药物或微小栓子注入病灶中,进行化疗或栓塞治疗肿瘤的一种方法。特点就是:局部治疗效果好,副作用较小,尤其适合老年患者。
2.体腔热灌注治疗
体腔热灌注化疗:是一种胸、腹腔恶性肿瘤辅助治疗手段,运用体外循环泵将化疗药物导入体腔或血管内,并持续循环,确保患者体腔内温度维持在42℃-45℃,持续一定时间。热灌注化疗使热疗与化疗灌注药物产生有机的互补作用,增加患者对化疗的敏感性,能够更有效地杀伤恶性肿瘤细胞,同时又减轻放疗和化疗所产生的副作用,提高患者的生存质量,延长患者的生命,因而被国际医学界称为“绿色疗法”。这种方法可以预防和治疗胸、腹膜的种植转移,有效控制胸、腹水。
3.肿瘤射频消融治疗
射频消融术:就是在超声、CT等引导下,将射频针穿过皮肤刺入肝脏肿瘤或实体肿瘤内,使高频电流通过针头导致周围组织升温,从而杀死附近的肝癌细胞。具有疗效好、操作简单、创口小、并发症少等优势。
4.静脉治疗学组开展治疗
静脉治疗学组成立于2016年7月,现有核心成员5人,其中一人获中华护理学会PICC高级置管资质,4人获省级PICC置管资质。已开展经超声引导下PICC、中长导管、迷你中线导管的置入;输液港、中心静脉导管维护;静脉导管并发症的预防与处理、复杂疑难静脉置管等。

护理门诊出诊时间:每周一、周四。
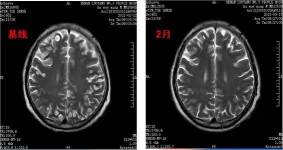
四、治疗前后对比图
脑部肿瘤治疗前后对比

乳腺肿瘤治疗前后对比图

胃部肿瘤治疗前后对比图

脸部肿瘤治疗前后对比图

肿瘤内科门诊电话:0379-66880156
















